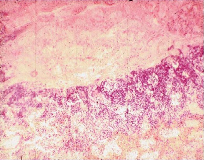
Ишемический инфаркт почки с демаркационной линией (гистологический препарат)

Ишемический инфаркт почки с демаркационной линией (гистологический препарат)

Все изображения Инфаркта почки:


Ишемический инфаркт почки с демаркационной линией (гистологический препарат)
  Ишемический инфаркт почки (макропрепарат)
 



Назначают:

  • Сайт детского здоровья